Нужен спец по КТ посмотреть пару снимков
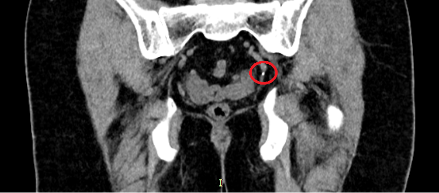
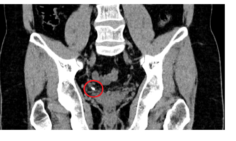
Сделал утром КТ по назначению уролога, так как месяц назад попал в неотложку с камнем в почке. Тогда на КТ он был 2х5мм, сейчас 3х7мм.
Но не в нем дело. А в других ярких точках в тазу (одна особо крупная и яркая), о которых в заключении радиолога ни полслова.
Болячки на фоне: походу мочекаменная, ремиссия ХМЛ после пяти лет приёма нилотиниба.
Может кто сможет определить, хотя бы приблизительно, а то до понедельничного приёма у врача ещё много времени, а я волнуюсь.
Спасибо.





Все о медицине
13.8K поста41.4K подписчика
Правила сообщества
1)Не оскорбляйте друг друга
2) Ув. коллеги, при возникновении спора относитесь с уважением
3) спрашивая совета и рекомендации готовьтесь к тому что вы получите критику в свой адрес (интернет, пикабу в частности, не является медицинским сайтом).