Злокачественная трансформация карликового цепня
На волне постов о паразитах вспомнилась статья из журнала The New England Journal of Medicine от 5 ноября 2015 г под названием "Malignant Transformation of Hymenolepis nana in a Human Host". В статье описан случай заражения человека опухолью паразитарного происхождения.
В январе 2013 года 41-летний колумбиец был госпитализирован с жалобами на слабость, лихорадку, кашель и снижение массы тела. Известно, что у пациента выявлена ВИЧ-инфекция с 2006 года, адекватной терапии от которой пациент не придерживался.
При обследовании у пациента выявлены яйца карликового цепня (Hymenolepis nana) в стуле.
МСКТ показало наличие очагового поражения легких и печени, а также увеличение шейных, медиастинальных и абдоминальных лимфузлов.
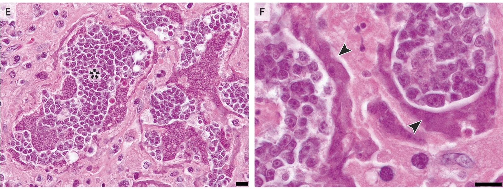
Пациенту был назначен альбендазол, а также АРВТ. Из шейных лимфатических узлов, а также из легких взяты биоптаты. Гистологическое исследование показало наличие в образцах тканей гнезд видоизмененных атипичных клеток, часть из которых была значительно увеличена и имела плеоморфные ядра с множеством ядрышек; а также очагов некроза, ангиолимфатической инвазии.
По данным ПЦР было установлено, что атипичные клетки имеют паразитарное происхождение, а именно, от карликового цепня. Подобные случаи, когда паразиты запускают процесс формирования опухолевых клеток в организме, хоть и крайне редки, но науке известны.
Несмотря на все усилия врачей, пациент скончался в мае 2013 г. Вскрытие не производилось. Вопрос эффективности альбендазола на внекишечные формы карликового цепня остается открытым.
Авторы предполагают, что вследствие накопления соматических мутаций в популяции стволовых клеток карликового цепня в условиях сниженного иммунитета привело к злокачественной трансформации.
Ссылка на оригинальную статью:


Все о медицине
13.9K постов41.6K подписчика
Правила сообщества
1)Не оскорбляйте друг друга
2) Ув. коллеги, при возникновении спора относитесь с уважением
3) спрашивая совета и рекомендации готовьтесь к тому что вы получите критику в свой адрес (интернет, пикабу в частности, не является медицинским сайтом).