Из жизни рентгенолога. Часть 10.
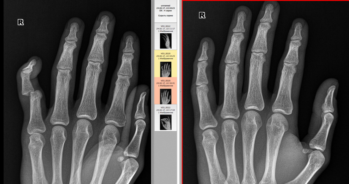
История 1
Малой стрелкой указан вывих пястно-фалангового сустава 1 пальца, большой - подвывих пястно-запястного сустава 1 пальца. На контрольной рентгенограмме справа вывихи отсутствуют.
История 2
Нижний вывих правой плечевой кости. На контрольной рентгенограмме справа вывих отсутствует.
История 3
Задний вывих предплечья. На контрольной рентгенограмме справа вывих отсутствует.
История 4
Оскольчатый перелом тела Со1 позвонка. Вентральный вывих тела Со1 позвонка. Снимки и описание делала моя коллега.
История 5
Еще одна кисть. Вывих средней фаланги 5-го пальца. На контрольной рентгенограмме справа вывих отсутствует.
История 6. Дисплазия тазобедренных суставов
(Взято из Википедии). Дисплазия тазобедренных суставов - это врождённая неполноценность сустава, обусловленная его неправильным развитием, которая может привести (или привела) к подвывиху или вывиху головки бедренной кости — к «врождённому вывиху бедра».
Интересно! Отмечена прямая связь повышенной заболеваемости и традиции тугого пеленания выпрямленных ножек младенца. У народов, живущих в тропиках, новорождённых не пеленают, не ограничивают свободу их движения, носят их на спине (при этом ноги ребёнка находятся в состоянии сгибания и отведения) заболеваемость ниже. Например, в Японии в рамках национального проекта в 1975 году была изменена национальная традиция тугого пеленания выпрямленных ножек младенцев. Обучающая программа была нацелена на бабушек, чтобы предотвратить традиционное пеленание младенцев. В результате произошло снижение врождённого вывиха бедра с 1.1—3.5 до 0,2 %.
Кому интереснее подробнее про заболевание – ссылка на Вики.
Различают несколько стадий формирования дисплазии – подвывих, вывих, высокий вывих. Вот как они выглядят на схеме:
А вот как выглядит на рентгенограмме. Стоит отметить, что обычно дисплазию тазобедренных суставов диагностируют в возрасте до года, но данный снимок пренадлежит мальчику 7 лет. Вполне вероятно, он и раньше делал снимки, но у нас был впервые.
На Rn-граммах тазобедренных в прямой проекции в вертикальном положении, в условиях динамической нерезкости, в атипичной укладке: с небольшим разворотом вправо, определяется двусторонние вывихи тазобедренных суставов на фоне дисплазии крыш вертлужных впадин (вертлужные впадины указаны стрелками). Суставы определяются гораздо выше впадин. Снимки и описание делала моя коллега.
На сегодня все.
Следующий пост будет необычным и очень интересным. Женщине поставили МОС по поводу перелома лучевой и локтевой костей 2,5 года назад. Сейчас рука снова начала болеть. В посте будет:
1. Снимки МОС, который был сделан 2,5 года назад.
2. Операция по удалению МОС (видео), установка нового штифта. Операция была сегодня, 16 декабря 2017 года, я присутствовал на ней, снимал видео.
3. Свежие снимки (планирую сделать послезавтра), после чего на неделе дооформлю пост до конца и выложу.
Берегите себя!






