Горячее
Лучшее
Свежее
Подписки
Сообщества
Блоги
Эксперты
Войти
4
onsevensky
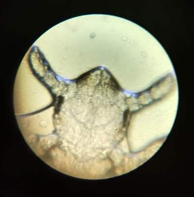
Раздавленная вошь с головы ребенка
2 года назад
Милашка
[моё]
Вши
Микроскоп
Ещё 0
Все комментарии
Автора
Раскрыть
5 комментариев
1
onsevensky
2 года назад
Мордашка бонусом
Ещё 0
Необходимо войти или зарегистрироваться
Войти
Войти
Создать аккаунт
Забыли пароль?
или продолжите с
Создать аккаунт
Регистрируясь, я даю согласие на
обработку данных
и
условия почтовых рассылок
.
Создать аккаунт
У меня уже есть аккаунт
или
Восстановление пароля
Восстановить
Войти
Восстановление пароля
Подтвердить
Получить код в Telegram
Войти с Яндекс ID
Войти через VK ID