Перелом ноги2
Сейчас многие конники следят за исходом серьёзного перелома ноги лошади, которую лечат в современной клиники.
Сегодня на кроссе, в проезде между препятствиями, он сломал ногу. Турин - добрейшая лошадь с огромной душой и усыпить его не попытавшись ничего сделать мы не можем. Он не сможет больше нести верховые нагрузки, разве что шагом при лучшем исходе, но гулять в своё удовольствие эта травма ему не должна помешать. На данный момент его отвезли в клинику максимы, будут делать операцию. Гипс нужен минимум на пол года.
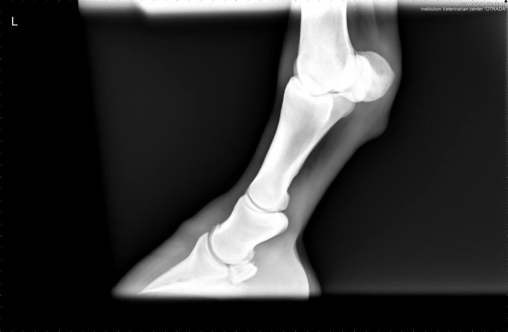
Снимки
для сравнения снимок без перелома
Проводят операционные действия
Перевозят после операции
Ногу собрали
Одним из последних ветеринарных достижений при лечении переломов у лошадей, является метод транскортикальной (чрезкостной) фиксации. Смысл такой фиксации заключается в том, что выше места перелома внутри кости временно ставят специальные металлические стержни, а потом всю конечность одевают в легкий и вместе с тем очень прочный полимерный гипс, в котором и закрепляют эти стержни. Таким образом, получается, что конечность лошади выше места перелома как бы подвешивается внутри гипсовой повязки. В результате этого лошадь получает возможность полностью опираться на сломанную конечность, так как весь ее вес при этом ложится только на здоровую кость и гипс, а поврежденный участок остается без нагрузки. Устанавливаются такие стержни под общим наркозом, как правило, одновременно с наложением гипса или при проведении операции по остеосинтезу. В настоящее время метод уже достаточно широко апробирован как за рубежом, так и у нас и помог спасти не одну лошадиную жизнь. Во многом, только благодаря транскортикальной фиксации у врачей появился шанс бороться за жизни лошадей даже при таких серьезных травмах, как полный перелом пястной или плюсневой костей. Источник 2009 год
Первый день после операции
Лошадь ведет себя достаточно жизнерадостно
Наши первые шаги!!! Невозможно выразить словами всю нашу благодарность Вам! Такое количество откликнувшихся, мы честно говоря не ожидали такого! Турин чувствует себя отлично. Общается, попрошайничает. Вчера после наркоза проснулся и долго не вставал. Потом аккуратно поднялся, берёг ногу. Что предстоит?! Регулярная смена гипса, чтобы не образовывались пролежни. Но, в связи с тяжестью перелома, первая перегипсовка с возможным снятием штифтов будет через 4 недели. (В случае осложнений через контрольные 2 недели, будут приниматься меры по их устранению.)Если есть пролежни, то смена гипса раз в 2 недели, если нет пролежней, то раз в 3-4 недели. Потом по результатам наблюдений. Транспортировка с гипсом крайне не желательна и опасна. К тому же менять гипс и снимать штифты в не стерильных условиях может привести к неблагоприятным последствиям. Благодаря сборам мы сможем оставить Турина в клинике на необходимое время. При появлении более подробной информации обязательно всё расскажем.
С момента перелома прошло два дня







Конный клуб
2.7K постов3.5K подписчик
Правила сообщества
Обсуждение, кто и как ест лошадей - недопустимо.
-Пожалуйста, будьте вежливы. Не опускайтесь до оскорблений.
-Троллинг и агрессивный диалог (без прямых оскорблений) так же является нарушением.
-Не добавляйте рекламу.
-"Маска лошади" не являются лошадью.
-Не нужно пропагандировать Невзорова.
По поводу банов и разбанов вы можете написать сюда