Загадочная эпидемия смертей от вейпинга: каннабис или витамин Е?
Гибель десятков человек от вейпинга объяснили витамином Е. Попробуем разобраться в странной истории о массовой болезни молодых вейперов.
Два месяца назад считалось, что заболели сотни вейперов, сейчас ясно, что тысячи / ©Ecig Click
Стремительно набирающий обороты вейпинг уже примерно год подает тревожные сигналы. Накапливающиеся свидетельства от отдельных врачей, пробы тканей от отдельных вейперов, обратившихся в больницу из-за ухудшения самочувствия, — поначалу все это казалось не очень значимым.
Однако в апреле 2019 года появилось сообщение о смерти одного из таких обратившихся к медикам — причем смерти неясной природы. К 5 ноября 2019 года в США было зарегистрировано 39 странных смертей вейперов в 24 штатах. Среди погибших как минимум один подросток 16 лет от роду.
Симптомы болезни у всех сходные. Боль в грудной клетке, нехватка воздуха, затрудненное дыхание, иногда температура, диарея, рвота. Сходные симптомы дают и иные легочные заболевания. Однако от вейп-эпидемии не помогут антибиотики, и, похоже, от нее вообще нет эффективного лечения. Врачи лишь подавляют симптомы, уменьшают силу воспалительных процессов в органах дыхательной системы. Не так-то просто лечить болезнь, конкретная причина которой вам неизвестна.
Почему после вейпинга возникают симптомы поражения ипритом
Появился термин «вейпинг-ассоциированная травма легких» (VALI по-английски). На то же 5 ноября в Штатах официально зафиксирован 2071 человек с такой травмой. Подозрения о том, что умирают от вейпинга не только американцы, сложно проверить: во многих странах врачи предпочтут диагностировать смерть молодого пациента каким-то известным заболеванием, чем расписаться в том, что не понимают, что случилось.
Поражения дыхательной путей от «вейп-эпидемии» в США очень напоминает эффект вдыхания иприта — боевого отравляющего вещества, активно применявшегося для уничтожения противника более 100 лет тому назад / ©Brandon T. Larsen
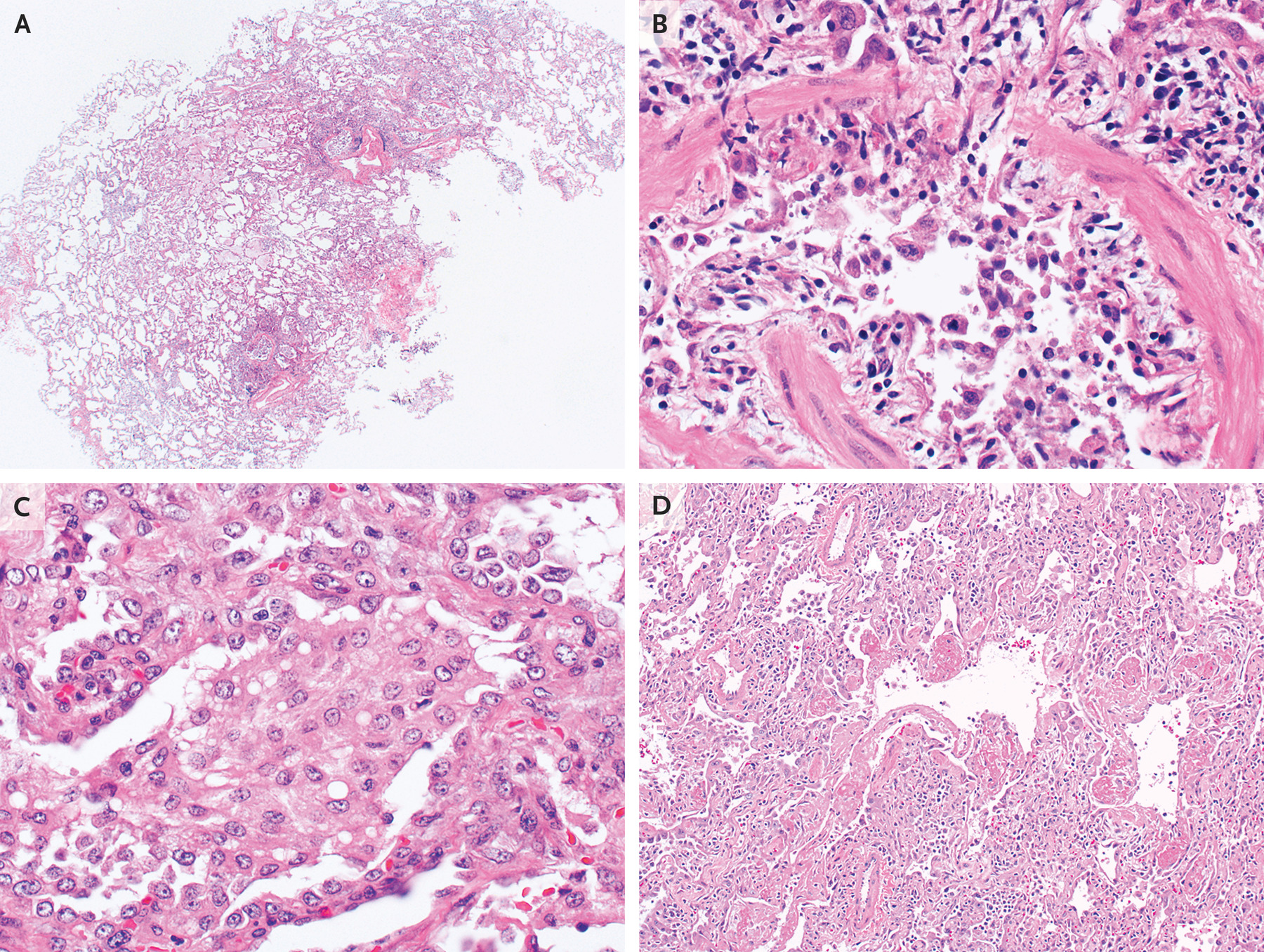
К октябрю 2019 года вышла работа в The New England Journal of Medicine, где авторы попытались изучить образцы легочной ткани людей с VALI. Речь шла о пациентах с серьезным поражением легких: на рентгеновских снимках у них были непрозрачности в легких, а двое из обследованных погибли от той же неясной причины. У всех семнадцати легочные ткани имели общие признаки поражения, редко встречающегося в наше время.
Брэндон Ларсен, один из авторов работы, изложил это так: «Честно говоря, они [их легочные ткани] показывали такой тип изменений, который вы могли бы увидеть у невезучего промышленного рабочего после аварии на производстве, когда большая бочка токсичных химикатов разливается, и человек вдыхает пары от них, получая химических ожог дыхательных путей».
В таких случаях клетки, выстилающие дыхательные пути и легкие, отмирают, запуская иммунный ответ, затем возникают отек и отшелушивание мертвых клеток. Жидкости, появляющиеся при этом, частично попадают в легкие. Отек плюс жидкость заметно затрудняют дыхание и при определенной степени исходного ожога могут сделать его невозможным, что ведет к смерти. Аналогичную картину в прошлом наблюдали куда чаще: иприт, отравляющий газ времен Первой мировой войны, действует на дыхательную систему похожим образом.
Ацетат витамина Е: убийца найден, или мы хватаемся за соломинку?
Центры по контролю и профилактике заболеваний США на днях добавили новый элемент в уравнение. Обследовав 29 больных с VALI, они обнаружили у каждого из них в жидкостях из легких так называемый ацетат витамина Е — проще говоря, синтетическую форму витамина Е. Опять речь шла о людях с высоким уровнем поражения легких, двое из 29 умерли. Промывочную жидкость, в которой был найден витамин Е, сперва закачивали в дыхательные пути через трубку, а затем откачивали обратно, наружу, через ту же трубку.
Отчетливо видно, что жертвы вейп-эпидемии в Штатах распределены неравномерно. Почему, пока не известно / ©CDC
При этом никотин удалось найти всего в 16 случаях, а следы тетрагидроканнабинола — только в 23 случаях. Тетрагидроканнабинол — действующее вещество относительно легальной в США марихуаны. Штатовские жидкости для вейпинга часто содержат ее. Тем не менее, получается, никотин и компоненты марихуаны были в дыхательных путях не всех больных, а вот витамин Е — у всех без исключения. Никаких других необычных веществ, которые не встречались бы у здоровых людей, у 29 обследованных выявить не удалось.
Из этого Центры по контролю и профилактике заболеваний США делают предварительный вывод, что витамин Е может быть причиной странного поражения легких. Могут ли они быть правы?
На первый взгляд, есть причины сомневаться в этом. Синтетическая форма витамина Е давно используется в производстве геля для душа, кремов для кожи и так далее. Реклама давно и уверенно рассказывает нам, что он якобы останавливает развитие признаков старения (на самом деле, нет), да и прием капсул с этим витамином распространен. Очевидно, синтетический витамин Е не может быть высокотоксичным сам по себе.
Однако проблема в том, что никто не ставил эксперименты по вдыханию человеком паров с высоким содержанием этого вещества. Электронные сигареты, используемые вейперами, могут нагревать испаряемую ими жидкость до 250 градусов по Цельсию. Витамин Е, как часто бывает с органическими соединениями, при этом может начать разлагаться, давая соединения более опасные, чем он сам. Не исключено, что сами клетки, выстилающие дыхательные пути человека, могут быть чувствительны к витамину Е, с которым в норме сталкиваются редко.
Никотин и конопля: какова их роль в загадочной эпидемии
На сегодня нельзя исключать, что болезнь вызывает не витамин Е, а более традиционные враги курильщиков: например, никотин или компоненты марихуаны. Но это сомнительно. Люди нагревают табак и траву — причем выше, чем до 250 градусов — тысячи лет подряд, однако симптомов острой легочной недостаточности, ведущей к смерти, от этого никто не видел. Обычное курение убивает другими механизмами.
Американские официальные лица в разгар эпидемии начали рекомендовать вейперам избегать использования жидкостей, содержащих тетрагидроканнабинол — основной действующий компонент марихуаны. Но такая рекомендация не от того, что они считают это вещество причиной загадочных смертей. Просто жидкости с тетрагидроканнабинолом чаще других содержат высокие концентрации витамина Е. Это не очень дорогое вещество, считающееся безопасным. Мелкие производители тетрагидроканнабинольных смесей для вейпов со спокойной душой включают его в свои продукты.
Никотиновые смеси для вейпов в Соединенных Штатах чаще производят корпорации, у которых меньше фантазии и разнообразия в химическом составе их продукции. К тому же мелкие производители смесей в США зачастую работают нелегально, торгуя смесями на улицах, а крупные так делать не могут — поэтому и строгость контроля за составом их смесей выше.
Вывод прост: почти наверняка сами по себе ни никотин, ни тетрагидроканнабинол к эпидемии отношения не имеют.
Неизвестные примеси: кто опаснее для вейпера — цианид или журналисты-хайпожоры
Тему «нелегальных» смесей для картриджей, продающихся на улицах, попытались раскрутить и журналисты американского канала NBC News. Они купили с рук десять картриджей с жидкостями для вейпа, содержащими тетрагидроканнабинол. Во всех них обнаружились соединения, которые при нагреве превращаются в синильную кислоту — довольно сильный яд. Из этого сотрудники СМИ сделали вывод: «левые» примеси могут стать причиной гибели вейперов.
Что ж, если их концентрацию там поднять до нужного уровня — да. Одна проблема: в условиях реальной наблюдаемой в Штатах эпидемии вейперов люди не умирают от сердечной недостаточности. А именно так убивает синильная кислота. Она может давать и поражения дыхательных путей, но совсем другие, чем те, которые наблюдались у жертв вейпинга. Более того, в смывах с дыхательных путей пострадавших синильной кислоты найти не удается.
Если «расследование» NBC News перевести на русский язык, оно будет звучать так: мы очень хотели срубить хайпа на чужой смерти, но химию знаем умеренно. Поэтому вникать в витамин Е не стали, а поискали «страшный яд». Да, его симптомы не такие, как у умерших. Да, его концентрация в купленных нами картриджах далека от опасной. Ну и что? Нам нужен хайп, желательно весь, а остальное вторично. Печальный пример эволюции некогда неплохой американской журналистики.
Недавно вейпинга боялись как новой формы курения. Теперь он показал, что способен и на то, в чем обычное курение замечено никогда не было / ©regulatorwatch.com
Подведем итоги. Пока не известно, что именно убивает жертв вейперской эпидемии. Смывы с 29 человек — в ситуации, где есть уже тысячи больных и десятки погибших — еще не железное доказательство вины конкретно синтетического витамина Е.
Тем не менее высока вероятность, что проблема может оказаться именно в нем. Известно, что чаще всего VALI поражает вейперов, использующих жидкости с тетрагидроканнабинолом. Витамин Е позволяет проще удерживать тетрагидроканнабинол в жидкости для вейпа, поэтому его содержание там выше, чем в большинстве вейп-жидкостей, содержащих никотин.
Это не самая плохая новость для нашей страны. В России вейп-жидкости с тетрагидроканнабинолом — экзотика. У нас курят траву по старинке, без использования новых технологий, поэтому шансы получить в дыхательную систему витамин Е куда ниже, чем на Западе.
Но мы бы не стали полностью расслабляться. Если вы вейпер и купленная вами жидкость для вейпа имеет детально изложенный химический состав, стоит этим воспользоваться. Не поленитесь изучить его. Если там есть витамин Е, он же — токоферилацетат, он же — α-токоферол, он же — пищевая добавка E307, попробуйте найти другую смесь. Кстати, наличия в жидкости для вейпа Е306, Е308 и Е309, близких к нему по составу, — тоже на всякий случай стоит избегать. По крайней мере, пока в Америке люди не перестанут умирать от неизвестных причин.




