Очень глубокий прикус, получится ли исправить без операций на челюсть и удаления зубов?
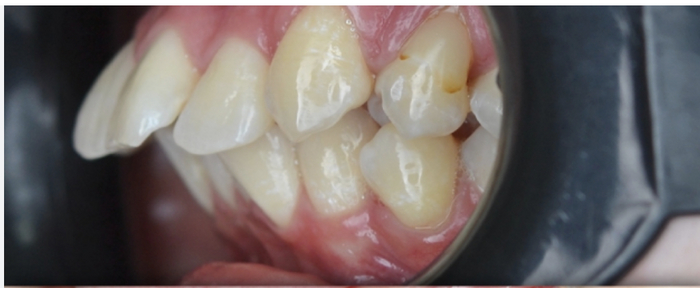
Всю свою жизнь, сколько себя помню имел неправильный "глубокий прикус". Жил я в селе, и специалистов которым можно было бы доверять свои зубы, честно говоря не было, максимум бывшие медсестры которые повисли свою квалификацию, поэтому у меня никогда не было брекетов, зубы росли как хотели, что вероятно и привело к этой проблеме у меня. Да и сам я в детстве не хотел ходить в брекетах, как и наверное все дети. Сейчас в более сознательном возрасте понимаю что надо было бы, но вероятно уже поздно. Сейчас я живу в большом городе, где учусь и иногда подрабатываю, чутка торгую на бирже и валютами. Для 19 лет, денег у меня больше чем у моих сверстников, так что решил сходить в частную клинику чтобы они исправили мою проблему. Учитывая то, что к очевидному эстетическому несовершенству добавилась хроническая боль в челюстном суставе, истончение зубов и их крошение. Но боюсь что ортодонты уже не смогут мне помочь, ведь обычно данная проблема исправляется до 12 лет. Если самодиагностировать себя, то я бы сказал что у меня не просто дистальный прикус, а диагноз "вынужденная позиция нижней челюсти", вызванная выступающими вперёд и плотно сидящими передними зубами снизу, и выступающими назад зубами сверху. При этом есть и другие симптомы данной болезни, например с самого раннего детства мне удобнее жевать только левой частью рта, что вызвало у меня асимметрию челюсти, левая половина челюсти более выражена, зубы на левой части тупо больше в размере. Слышал что в России большинство ортодонтов вообще даже не знают как лечить данный диагноз, поэтому предпочитают не ставить его пациентам. Очень опасаюсь что придется делать операцию на челюсти из-за этого.
На данных двух фото моя "отдыхающая позиция" челюстей, в которой мне комфортно их держать. Даже с очень глубоким прикусом контур моей челюсти всё равно можно увидеть, из-за того что она в принципе у меня большая, больше чем у моего отца (возможно к этому как-то причастно то что я дышу через нос и держу язык в верхней половине рта т.е. возможно я неосознанно выполнял предписания той самой теории "мьюинга", хз правдива она или нет). Но рецессия всё равно есть.
На этих двух фотографиях я осознанно смещаю нижнюю челюсть вперёд и немного вниз, так чтобы верхние зубы не закрывали полностью нижние. При таком положении у меня хоть и сходятся идеально передние зубы, но моляры, да и вообще все остальные зубы сзади в целом не касаются друг друга вообще, в получившийся пробел можно засунуть мизинец. Из-за этого я не могу держать такую позицию дольше чем 15 минут. Осознанно делаю так на фотографиях, при встречах с важными людьми и пр., чтобы выглядеть презентабельнее. Значит, наверное, это тот результат к которому я стремлюсь к концу своей коррекции зубов. Мне бы хотелось чтобы данная позиция зубов стала моей натуральной. Чем ближе конечный результат к этому, тем лучше. Идеал-полное совпадение с наклоном челости на моём фото в профиль #2, если хоть на пару миллиметров дальше, то спереди лицо выглядит слишком длинным. Если наоборот, хоть на пол сантиметра назад, то разницу с предыдущим фото в профиль (где нижняя челюсть с рецессией) почти не видно.
Получится ли у меня достичь желаемый результат усилиями только консервативного вмешательства, или придётся прибегать к хирургической коррекции челюсти/удалению или подпиливанию зубов? Можете дать совет, есть ли смысл вообще идти к специалисту, или мне всё равно не помогут и просто высосут из меня деньги? Если да, то в какую клинику/к какому специалисту? Могу поехать в любой город на Юге России. Буду благодарен тому кто вообще сможет прочитать эту кучу текста)




















