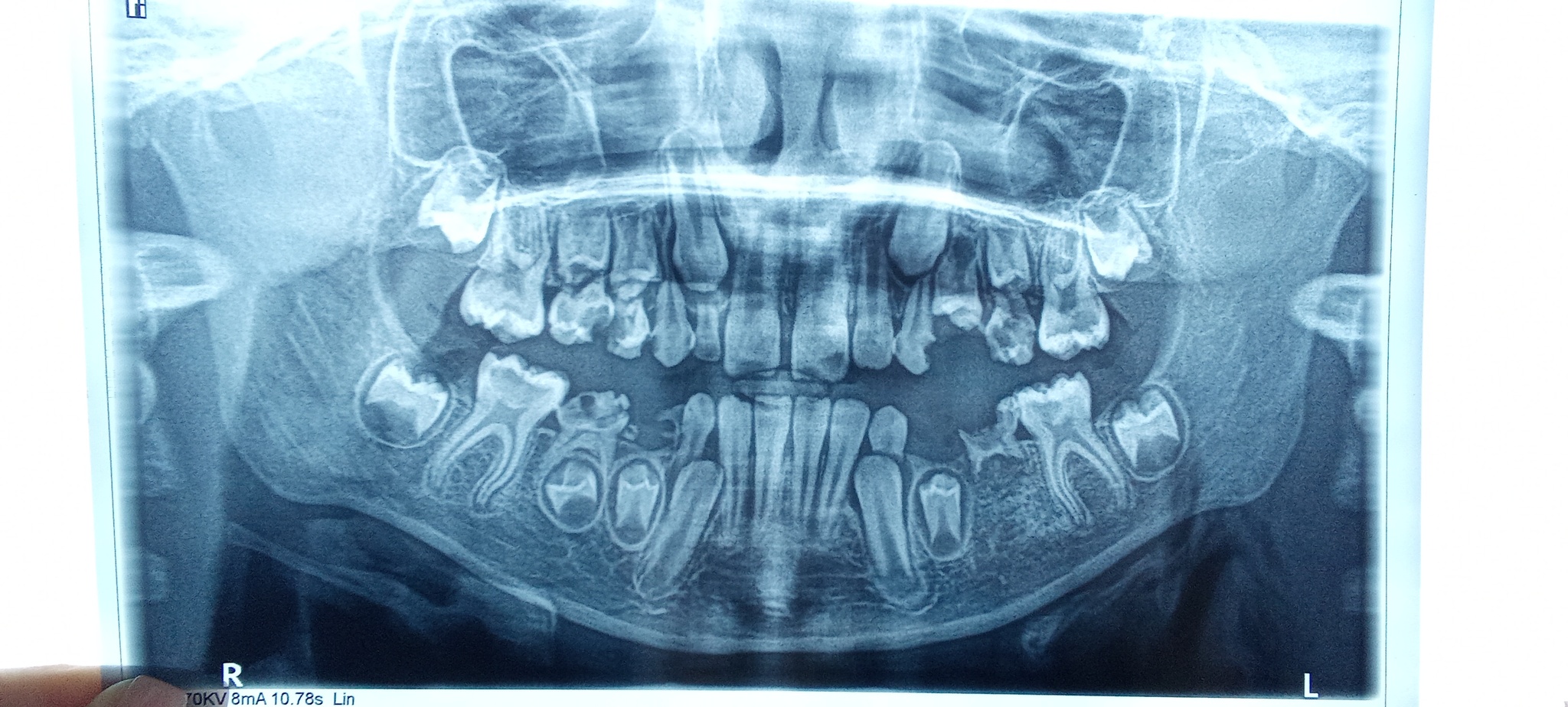
Poorbick Стоматология Зубки. Совет 1 год назад Стоматологи, нужен ваш консультация. Снимок сделан на днях. Справа снизу одного зуба нет? Будет ли он [моё] Стоматология Зубы Дети Совет Длиннопост Ещё 0
Стоматология
770 постов2.9K подписчиков
Правила сообщества
Людям без соответствующего образования не ставить диагнозы и не советовать лечение, врачам и мед. работникам соблюдать принципы этики и деонтологии.