Случаи из практики: Рак молочной железы
Всем привет!
Сегодня очередной случай из моей рентгенологической практики, а покажу я рак молочной железы с точки зрения 3 модальностей: маммография, ультразвук и МРТ.
Коротко напомню, что я работаю врачом-рентгенологом и публикую здесь интересные (на мой взгляд) случаи из повседневной практики. Занимаюсь я всеми модальностями (рентген, КТ, МРТ, УЗИ; ренгеноскопия, маммография), а также интервенциями.
Итак, пациентка 56 лет, обнаружила и себя узел в правой молочной железе, с чем обратилась к гинекологу для дальнейшего обследования. Была направлена на маммографию, где, на первый взгляд, ничего трагического видно не было
Однако обращала на себя внимание группа микрокальцинатов на позиции примерно 2-3 часа (медиально или с внутренней стороны):
Которые стали более отчётливыми на томосинтезе (специальная техника получения "объёмного" изображения) с нарушением арxитектуры молочной железы в данном участке:
Сразу после маммографии провели ультразвуковое обследование, где очаг хорошо определялся как сильно гипоэхогенная область (мало отражающая УЗ лучи) с нечёткими контурами и ориентировкой перпендикулярно плоскости кожи:
Дополнительно спустя несколько дней провели МРТ молочных желёз для исключения "мультицентричности" (т.е. для исключения других возможных очагов, не видимых на маммографии и УЗИ), где образование выделялось локальным снижением диффузии (увеличение числа клеток или размера клеток вызывает уменьшение внеклеточного пространства, в котором циркулирует жидкость, что видно на специальных секвенциях):
А также относительно гомогенным набором контрастного вещества в раннюю артериальную фазу (т.е. непосредственно сразу после внутривенного введения):
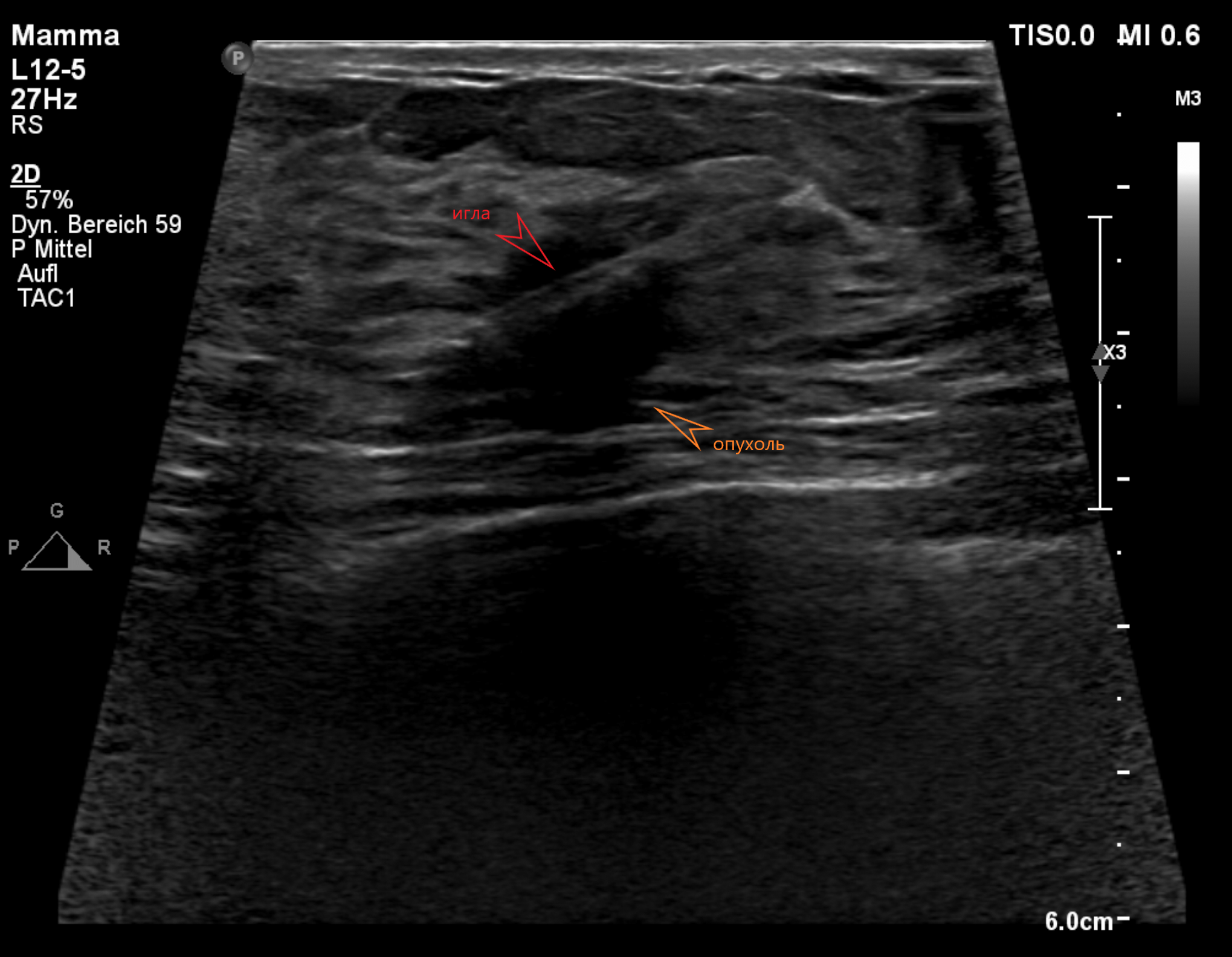
Все вышеуказанные признаки характерны для рака молочной железы, что подтвердила последующая биопсия (проведена тоже мной, под контролем УЗИ):
Касательно дальнейшей судьбы пациента пока сказать ничего не могу, т.к. случай совсем свежий. Знаю, что её будут представлять на специальной онкологической конференции, где специалисты разных дисциплин (онкологи, гинекологи, рентгенологи и радиологи) будут определять тактику лечения.
На этом всё.
Всем хорошей пятницы!






