Продолжение поста «Опыт лечения парапроктита в стационаре. Полезная информация»1
Апдейт.
Это пиздец.
Я узнала, что свищи бывают внутренние и что кроме уплотнения и повышенной температуры тела (37) может не быть других симптомов (боли и т.п.)
В общем, после операции прошло 1,5 мес., я добросовестно отходила на перевязки и осмотры. И, на днях, пальпируя себе область (даже не вокруг анала, а в ягодице сбоку и выше) я нащупала плотное образование, которое было и в прошлый раз.
Но я думала:
1) что когда я делала УЗИ перед операцией мне его посмотрели
2) Если это был свищ - мне его зачистили на операции
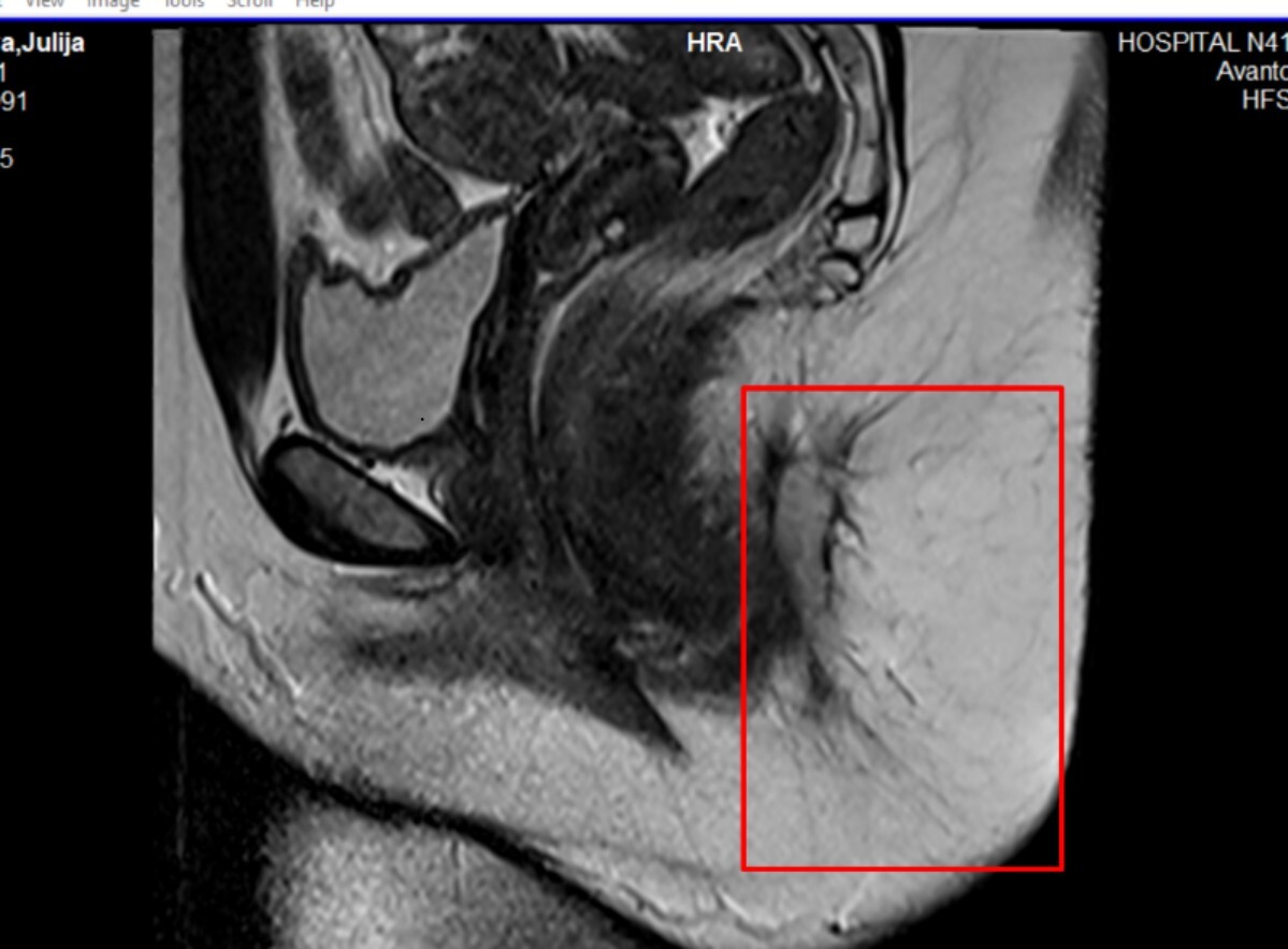
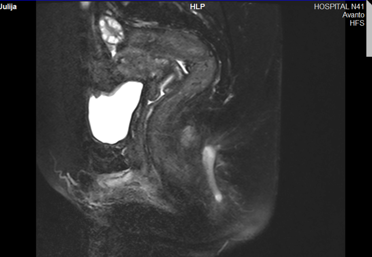
Сделала МРТ - а там капец
Состояние мое не описать словами. Страшно пздц, обидно за месяц непродуктивных страданий и жалко свой организм, поскольку я от той-то операции восстанавливалась на витаминах и протеине месяц.
Мало того, это сложный случай и в платной клинике мне в малоинвазивных операциях отказали. А в бесплатную мне теперь идти страшно. В Екб платно такое не оперируют вообще. Буду оперироваться в платной в МСК в 2 этапа и это все растянется на полгода если все будет успешно.


История болезни
5.9K поста6.7K подписчиков
Правила сообщества
1. Нельзя:
- 1.1 Нарушать правила Пикабу
- 1.2 Оставлять посты не по теме сообщества
- 1.3 Поиск или предложения о покупке/ продаже/передаче любых лекарственных препаратов категорически запрещены
2. Можно:
- 2.1 Личные истории, связанные с болезнью и лечением
- 2.2 Допустимы и не авторские посты, но желательно ссылка на источник информации
- 2.3 Давать рекомендации
- 2.4 Публиковать соответствующие тематике сообщества, новостные, тематические, научно-популярные посты о заболеваниях, лечение, открытиях
3. Нужно
- 3.1 Если Вы заметили баян или пост не по теме сообщества, то просто призовите в комментариях
- 3.2 Добавляйте корректные теги к постам
4. Полезно:
- 4.1 Старайтесь быть вежливыми и избегайте негатива в комментариях
- 4.2 Не забываем, что мы живем в 21 веке и потому советы сходить к гадалке или поставить свечку вместо адекватного лечения будут удаляться.
5. Предупреждение:
- В связи с новой волной пандемии и шумом вокруг вакцинации, агрессивные антивакцинаторы банятся без предупреждения, а их особенно мракобесные комментарии — скрываются