Продолжение поста «Как я сделал операцию от плоскостопия»1
Всем привет!
Прошло чуть больше двух лет с момента, когда сделали операцию claps на стопы (ноябрь 2018-январь 2021).
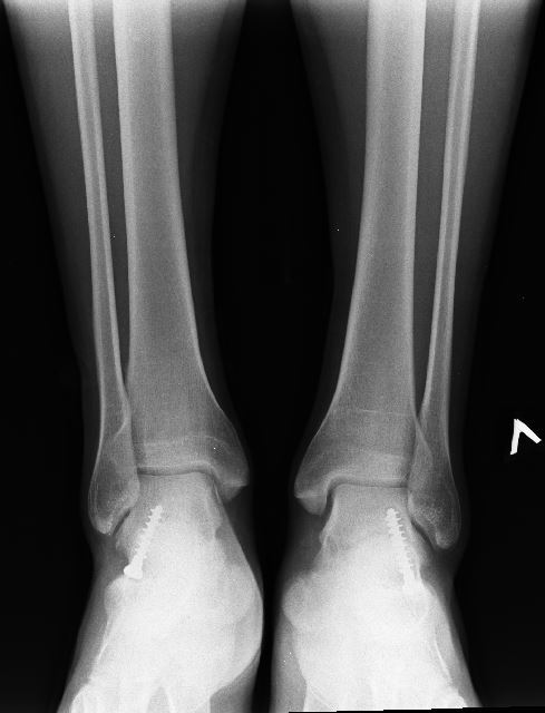
Напомню: это операция по коррекции плоскостопия с помощью "винтов" - у меня после операции 3 степень плоскостопия стала 2-й. Подробнее можете почитать в предыдущем посте.
Поделюсь своими субъективными ощущениями:
-Долгая ходьба уже не вызывает такого сильного дискомфорта какой был раньше.
-При ходьбе без стелек дома тоже устаешь меньше. Раньше стоя 10 минут на месте без стелек, переминался с ноги на ноги, т.к. начинали болеть стопы. Сейчас как-то полегче.
-Также практикую носить стельки дома, возможно у вас есть обувь, которая трудно разносится, можете вложить туда стельки и разнашивать дома, я сейчас так делаю. Очень удобно))
-На данный момент скажу, что могу бегать трусцой, недолго, стопы вроде позволяют. Но если делаю это регулярно, например, 3 раза в неделю, на 3-ю тренировку стопы ощутимо начинают болеть и на носках бежать больно, ступаешь на всю стопу. В таком случае давал себе пару дней отдыха и делал компрессы с мазью. Боль проходила за пару дней. Но сейчас не бегаю)
-Могу прыгать на скакалке, это дается легче, чем бег.
-Велосипед - круто! Катайтесь на здоровье)) Плавание тоже без особых сложностей.
-Регулярно спортом не занимаюсь, к сожалению), порой только редкие тренировки.
Гимнастику для стоп делал какое-то время, потом перестал. Но надо делать:)
Про лечение возникающих болей в стопах: всё что делал, делал по рекомендации врача.
- компрессы с мазью - помогает за пару дней устранить боль от физ.нагрузок.
- ходил на парафин (озокерит) - тут сложнее сказать, каких-то сильных изменений не заметил, но и ухудшений тоже никаких.
Отмечу ещё, что довольно длительное время, возможно даже спустя полтора года после операции - после сна, когда встаешь на ноги, отзывалась боль в стопах, но через 10 минут расхаживаешься и становилось норм. На данный момент эта боль по утрам тоже прошла.
Винты всё ещё в стопах, решено пока воздержаться от их удаления.
Про стельки: большую часть времени я использовал стельки под индивидуальное изготовление (из кожи). Недавно купили уже готовые стельки. Они более прочные и лучше держат форму. Сейчас использую второй вариант, по ощущениями они более удобные.
Прикладываю фото стелек и последние актуальные снимки.
Не болейте и ведите здоровый образ жизни)
Всем пока))











